OEC MiniView
Extremity imaging performed easily
Clear
Same size Live and Reference images on a 27″ 4K display to easily see fine anatomical details
Fast
Save time positioning detector and quickly lock into place with one button touch
Convenient
For every day demands with 5-minute standby power, planning and dose management features
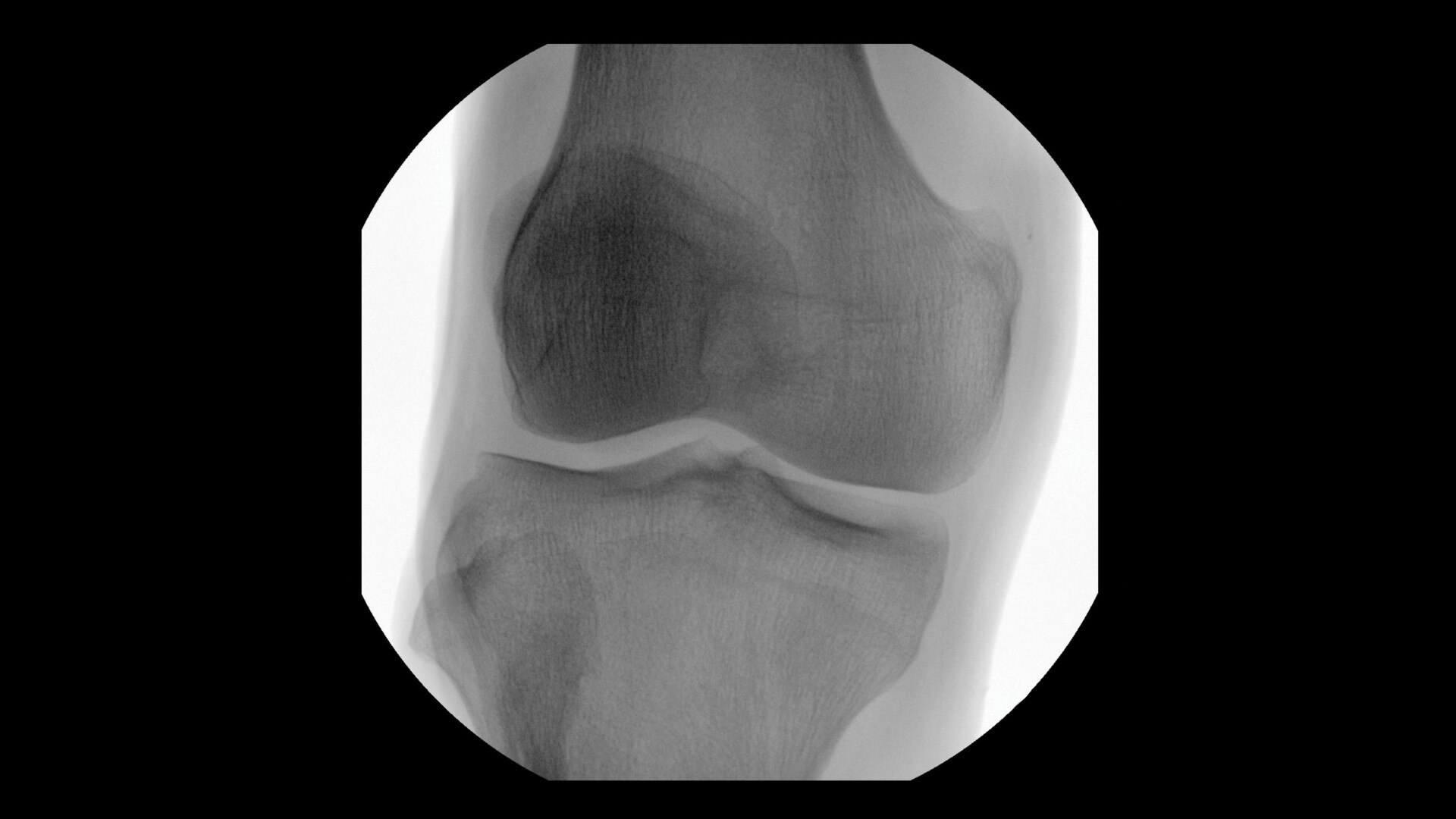
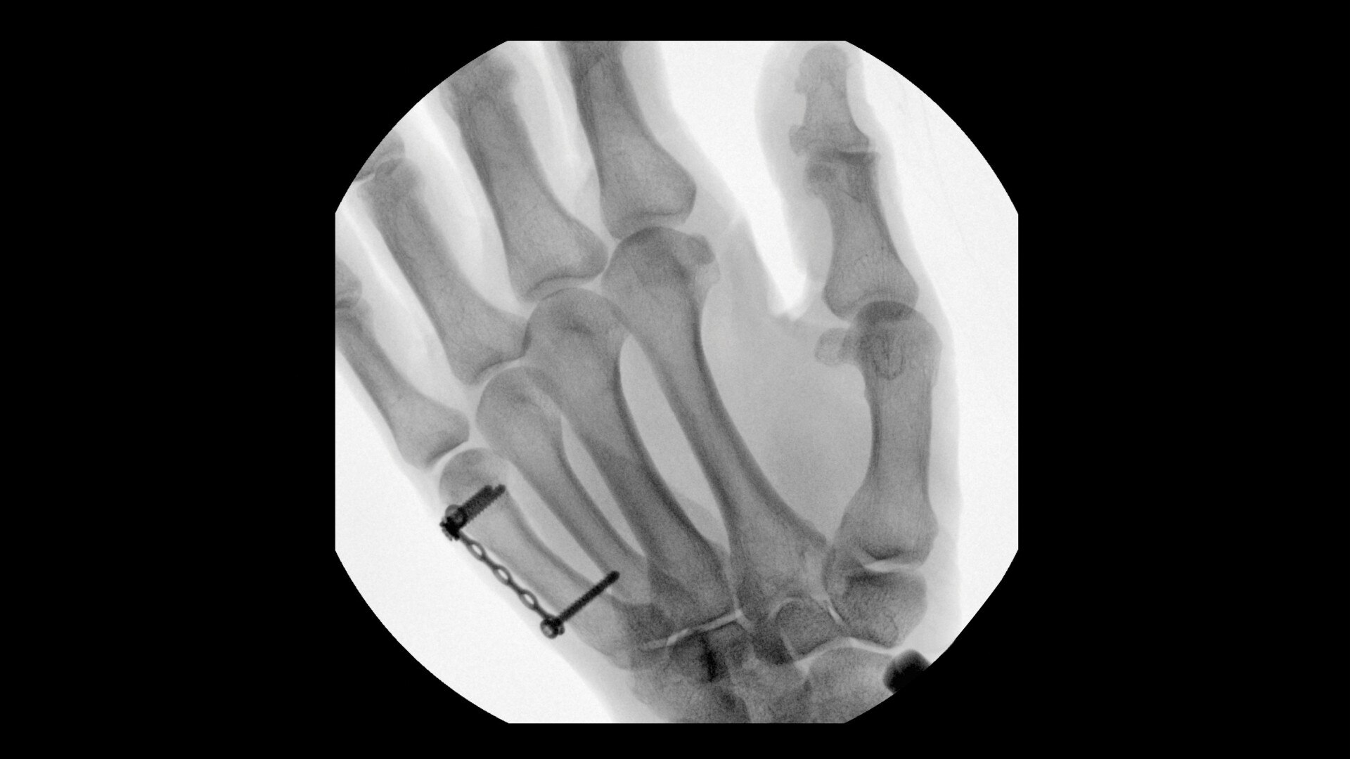
CLINICAL IMAGES
OEC MiniView
The OEC MiniView enables surgeons to single-handedly capture clear, fast, and convenient images in surgical suites or clinical settings every day.
EFFICIENCY
Additional features of OEC MiniView
Align
Minimize additional positioning shots aligning X-ray to patient anatomy with green laser aimer
Position
Sitting or standing, achieve optimal positioning with a wide range of
C-arm motion
Minimize
Multiple features to reduce dose, including Live Zoom, low dose mode and Fluorostore
Plan
Plan procedures such as screw placements with Digital Pen, annotations and measurements
FEATURES
Extremity imaging performed easily
Exceptional detail
Confidently see large 11.8″ (30 cm) Live and Reference images presented side-by-side to aid in procedure assessments.
Visualize fine anatomical details such as trabecular patterns or hairline fractures, captured with a flat panel detector and presented on a 27″ 4K display.

Easy to position
Guide and lock the C-arm around patient anatomy in one synchronized movement. Eliminate the frustration of drift by securing four joints with a single SmartLock button.

Save time
When and where needed, OEC MiniView is ready for extremity imaging. With standby power of 5 minutes, OEC MiniView can be unplugged, moved across the room or down the hall, and be ready to image in today’s demanding hospital, emergency room or clinic environments.

PRODUCT OVERVIEW
OEC MiniView
Extremity imaging performed easily





